Unsere Fälle
Beispiele durchgeführter Behandlungen
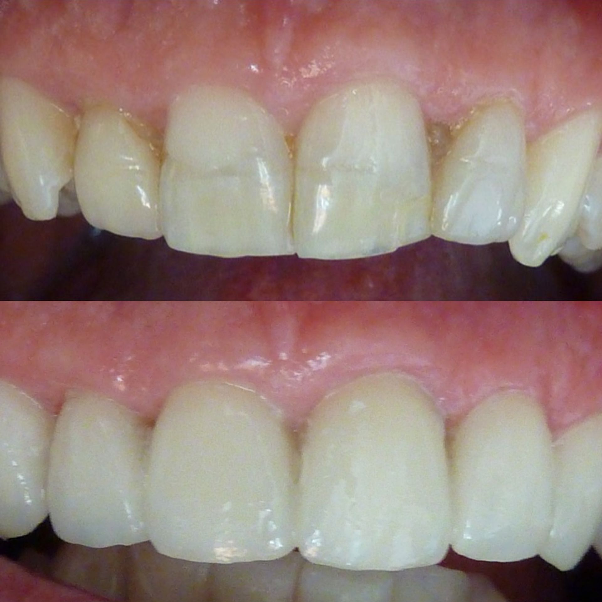
Unsere Behandlungen verwandeln die Lächeln unserer Patienten. Jeder Fall ist einzigartig, und unser Team engagiert sich dafür, maßgeschneiderte zahnärztliche Lösungen zu bieten, die Fachwissen, modernste Technologien und Komfort vereinen.
Von Zahnimplantaten bis hin zu ästhetischen Behandlungen – unsere Priorität ist es, durch natürliche und dauerhafte Ergebnisse Vertrauen und Wohlbefinden zurückzugeben.









