Our Cases
Examples of Treatments
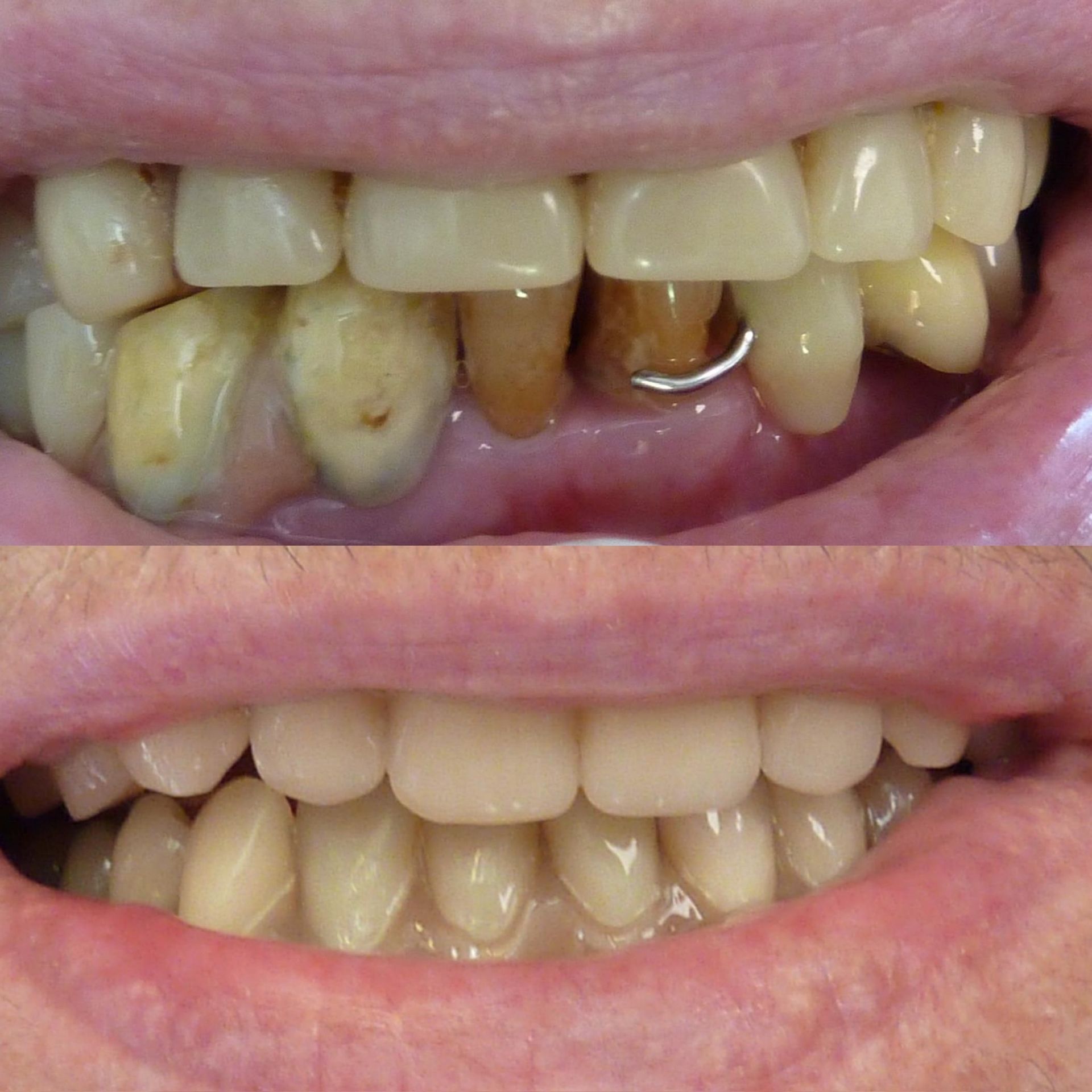
Our treatments transform our patients' smiles. Each case is unique, and our team is dedicated to providing customized dental solutions, combining expertise, advanced technologies, and comfort.
From dental implants to aesthetic care, our priority is to restore confidence and well-being through natural, lasting results.









